ESPECIALIDADES
ESCUINTLA
AKISHINO
AKISHINO2 USG
HUIXTLA
Home
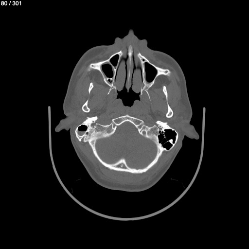
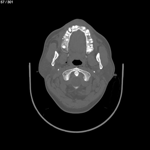
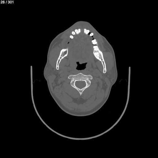
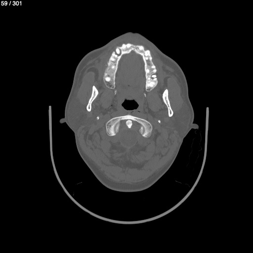
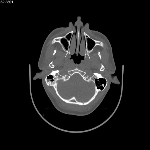
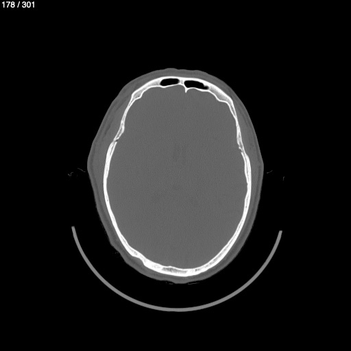
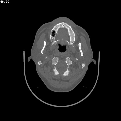
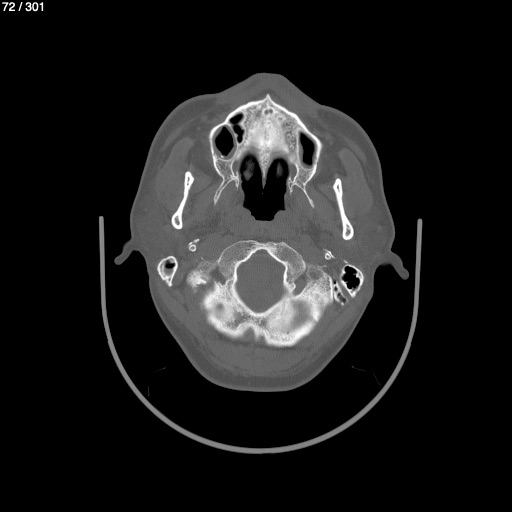
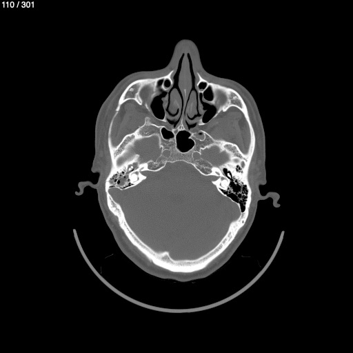
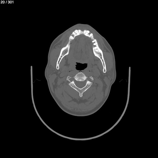
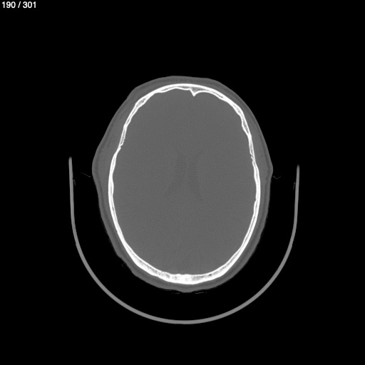
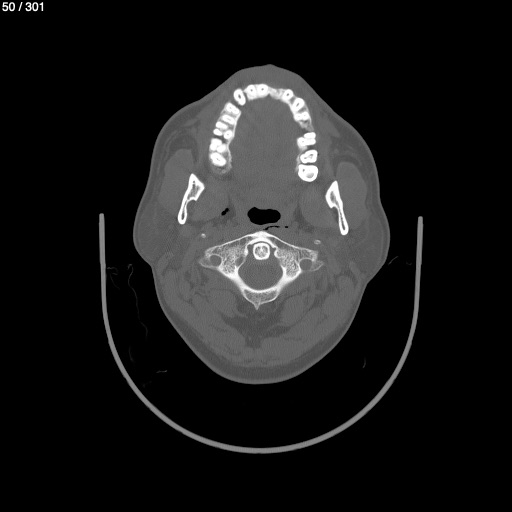
Alberto Morales Perez 45 - Tac De Craneo S
Next Series
Show as Sequence