ESPECIALIDADES
ESCUINTLA
AKISHINO
AKISHINO2 USG
HUIXTLA
Home
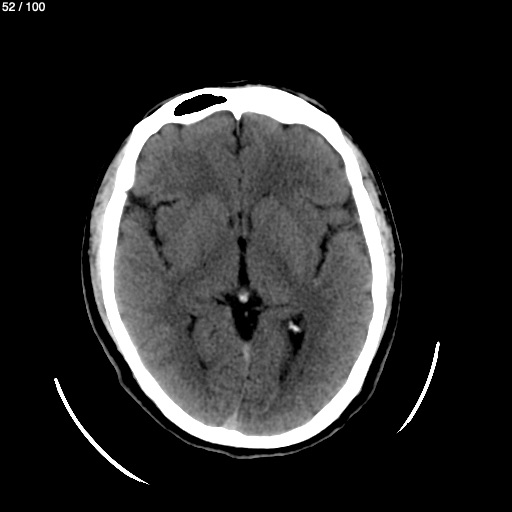
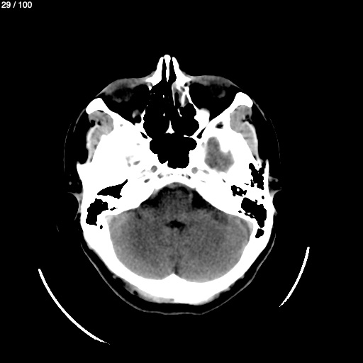
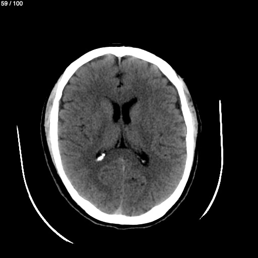
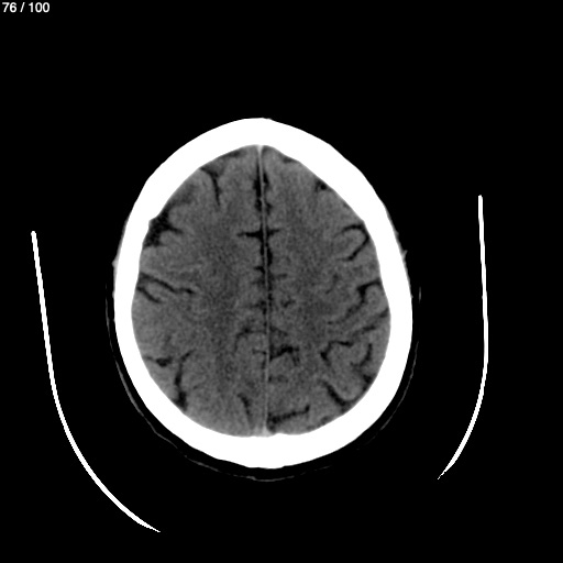
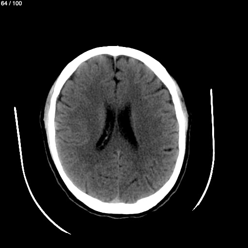
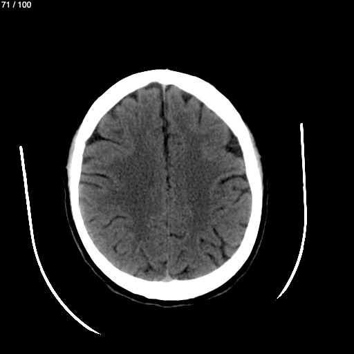
Berlantino Roblero Vazquez 33A - Unnamed
Previous Series
Show as Sequence