ESPECIALIDADES
ESCUINTLA
AKISHINO
AKISHINO2 USG
HUIXTLA
Home
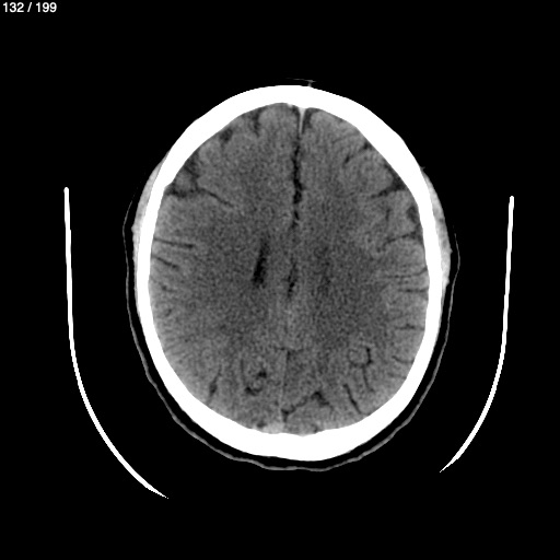
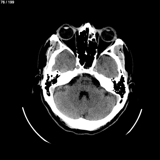
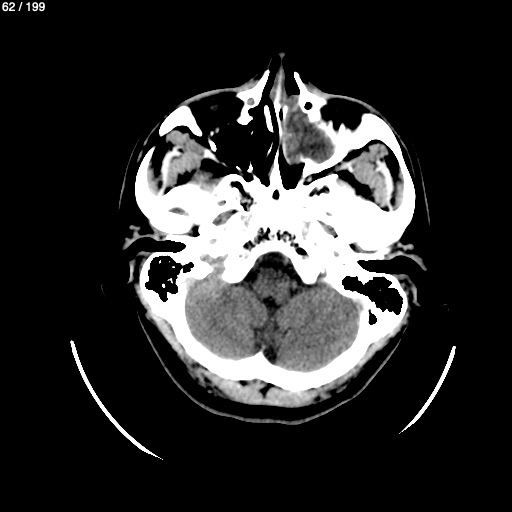
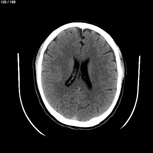
Berlantino Roblero Vazquez 33A - Unnamed
Next Series
Show as Sequence