ESPECIALIDADES
ESCUINTLA
AKISHINO
AKISHINO2 USG
HUIXTLA
Home
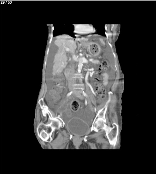
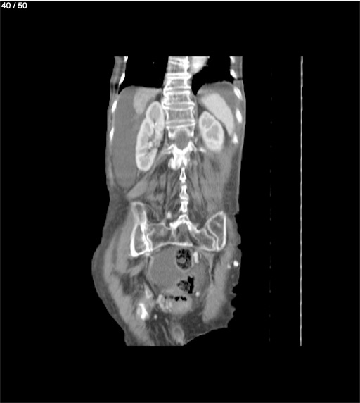
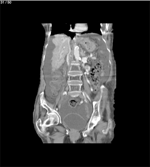
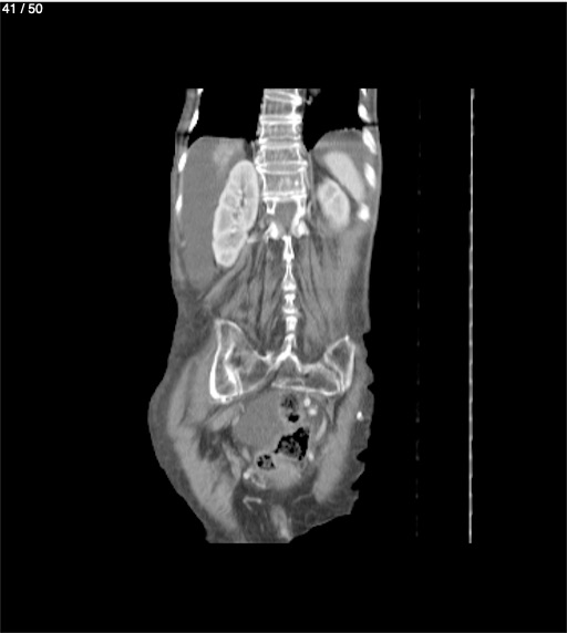
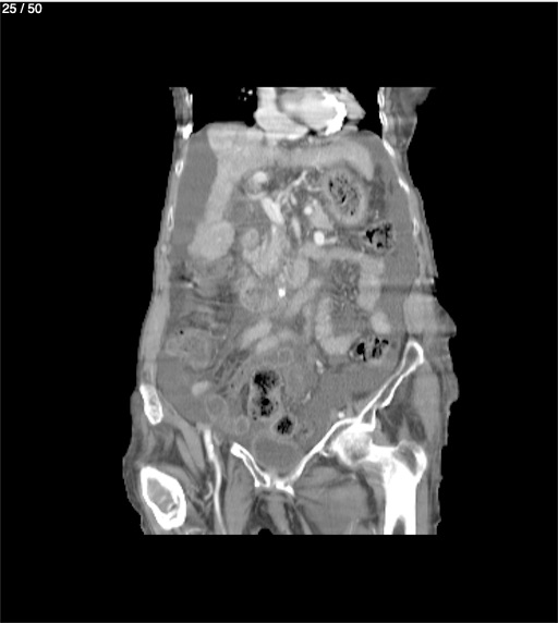
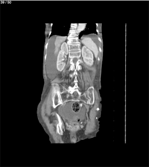
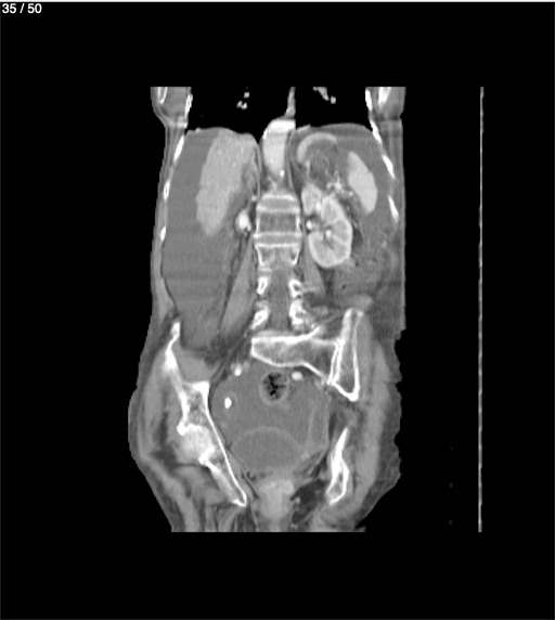
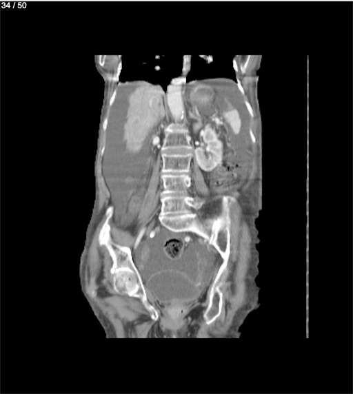
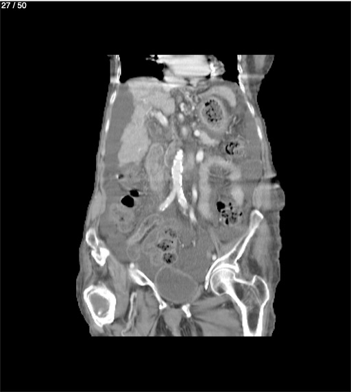
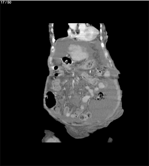
Amalia Gomez Ordonez 75A - T.C Abdomen Syc
Previous Series
Next Series
Show as Sequence