ESPECIALIDADES
ESCUINTLA
AKISHINO
AKISHINO2 USG
HUIXTLA
Home
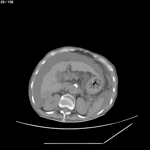
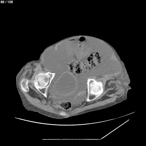
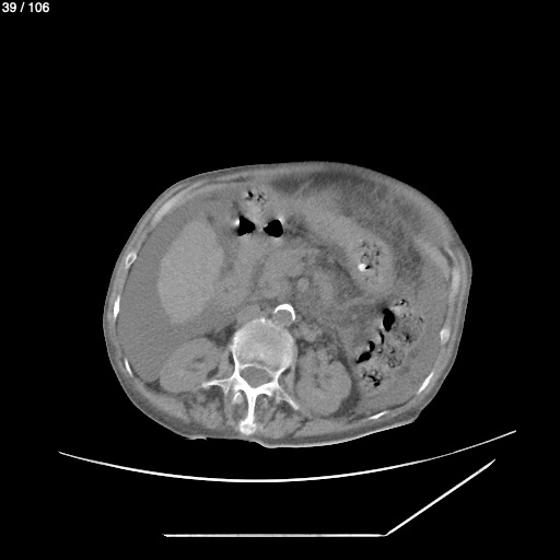
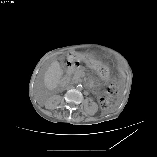
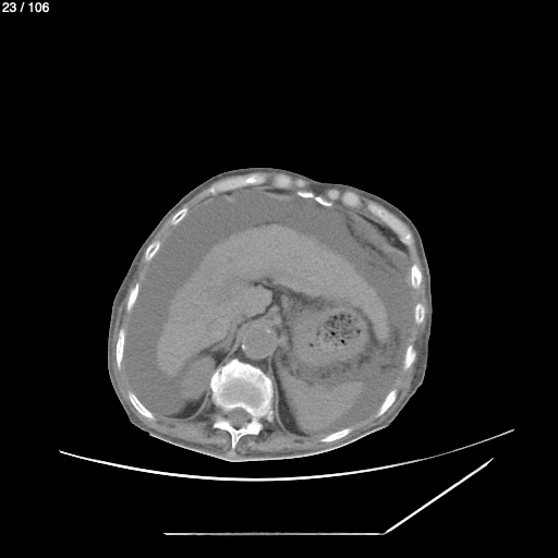
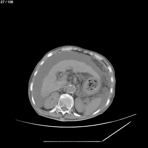
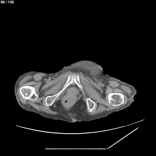
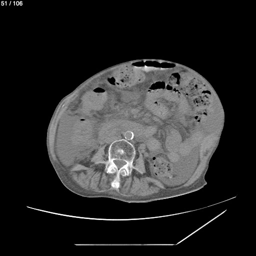
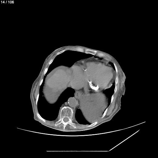
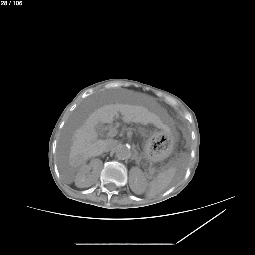
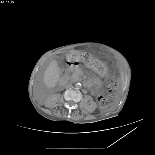
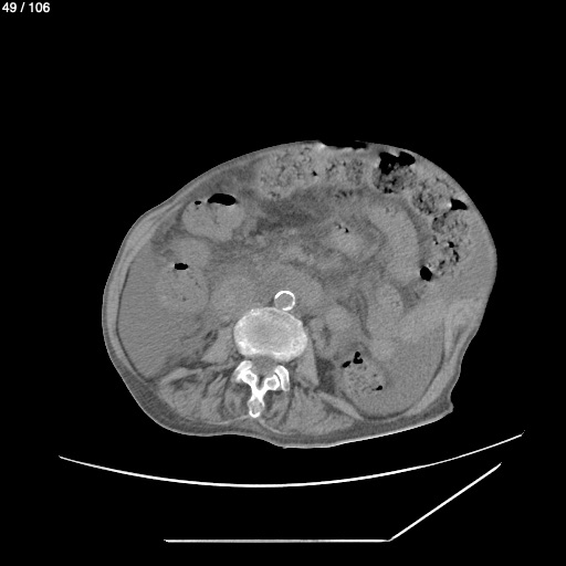
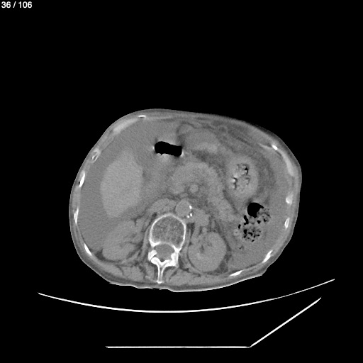
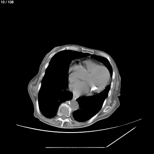
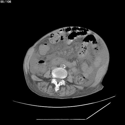
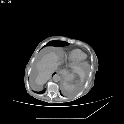
Amalia Gomez Ordonez 75A - T.C Abdomen Syc
Next Series
Show as Sequence