ESPECIALIDADES
ESCUINTLA
AKISHINO
AKISHINO2 USG
HUIXTLA
Home
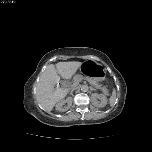
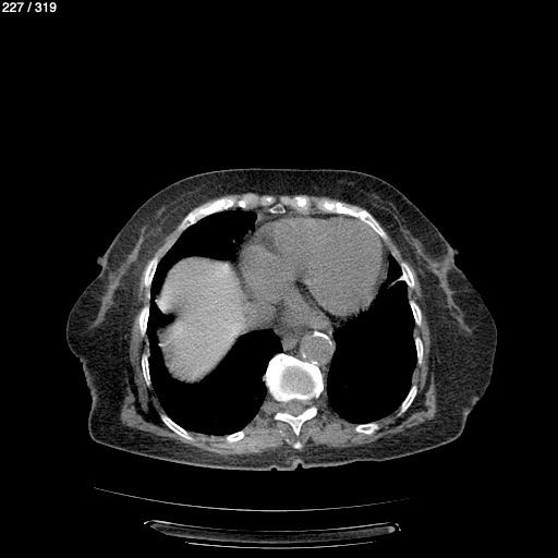
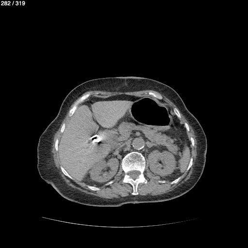
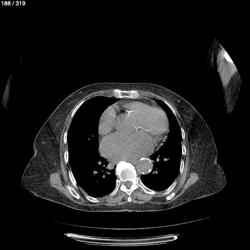
Paula Meza Nino 95A - Unnamed
Previous Series
Show as Sequence