ESPECIALIDADES
ESCUINTLA
AKISHINO
AKISHINO2 USG
HUIXTLA
Home
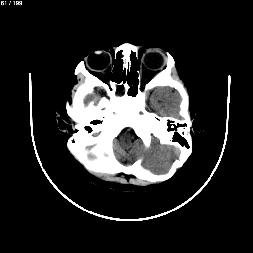
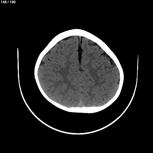
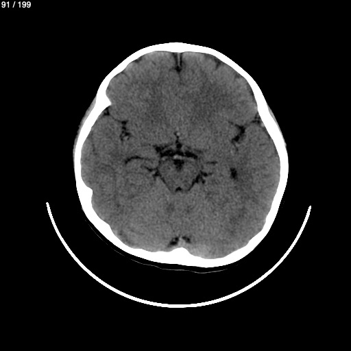
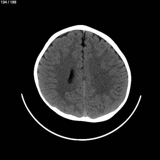
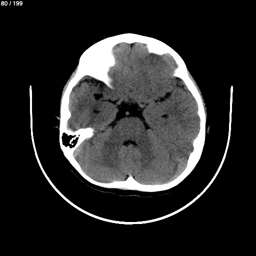
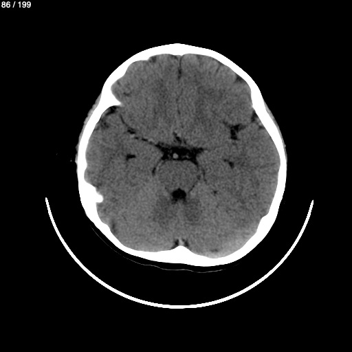
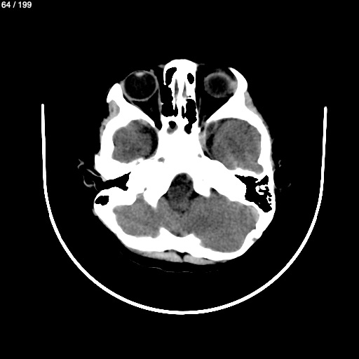
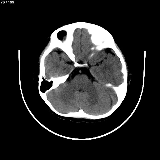
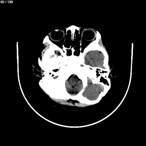
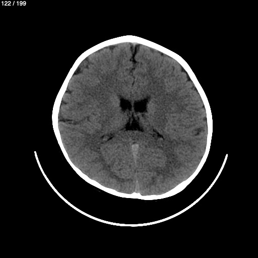
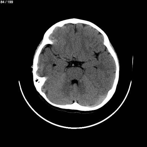
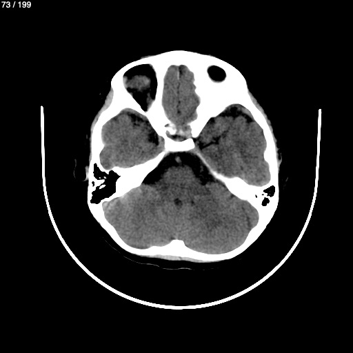
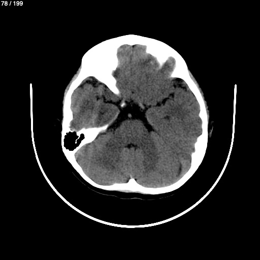
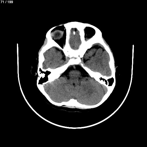
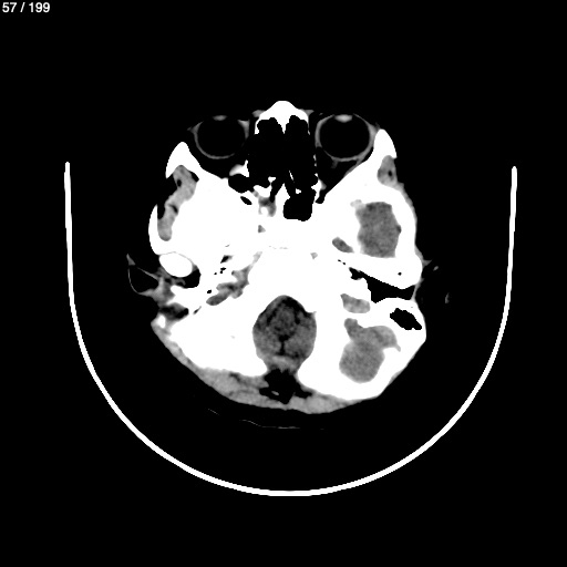
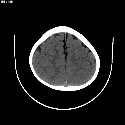
Jonathan Javier Morales 3A - Unnamed
Next Series
Show as Sequence