ESPECIALIDADES
ESCUINTLA
AKISHINO
AKISHINO2 USG
HUIXTLA
Home
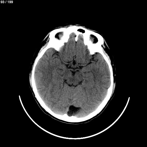
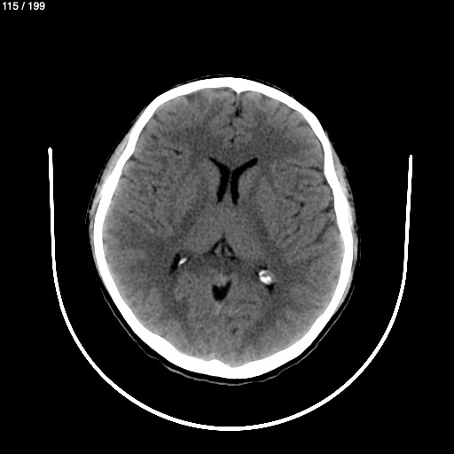
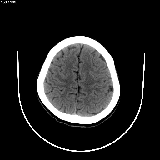
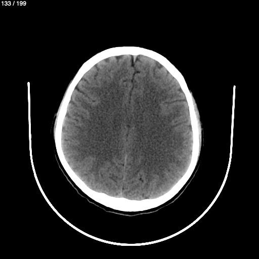
Arle Perez Velazquez 21A - Unnamed
Next Series
Show as Sequence